#blog-title{font-size:150%; }

Cardio2012のECGブログ-2019改

=上級医がやっている危ない心電図の見分け方= ECGにまつわる基本的な諸問題:総合診療部研修医と、ECG苦手医師のためのサイトです。

ECG-146:64才男性。CPAで搬入されました。

ECG-146:64才男性。CPAで搬入されました。

.
 突然の心肺停止、VfでのER搬入でした。幸い、いろいろな治療を経て、最終治療まで、行う事ができた症例です。
.
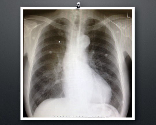
胸部レントゲンを提示します。

E146hcm_cpa_vf

クリックすると、拡大します。

.

.

心エコーを提示します。

E146hcmcpa_vf

クリックすると、拡大します。

.

.

Question:この症例のECGを、思い浮かべて下さい。

.

.

.

.

.

.

.